На информационном ресурсе применяются cookie-файлы. Оставаясь на сайте, вы подтверждаете свое согласие на их использование.
Kattye
guru
Завожу темку! Здесь советуемся, рекомендуем, делимся информацией, мнениями, впечатлениями по теме!
Меня в первую очередь интересует, сколько сейчас стоит выпрямить зубы?
Свои зубки от природы белые, проблем особых тоже нет. НО, в переходном возрасте, один из передней двойки, вырос "не пойми как" и теперь вся "улыбка" "сикась накось". Вот задумалась привести их в порядок, возможно поставить брекеты. Если кто ставил, поделитесь инфой, сколько сейчас это стоит?
Меня в первую очередь интересует, сколько сейчас стоит выпрямить зубы?
Свои зубки от природы белые, проблем особых тоже нет. НО, в переходном возрасте, один из передней двойки, вырос "не пойми как" и теперь вся "улыбка" "сикась накось". Вот задумалась привести их в порядок, возможно поставить брекеты. Если кто ставил, поделитесь инфой, сколько сейчас это стоит?

Ermolaeva2
v.i.p.
мммммм
Консультация ортодонта 300
ОРП снимок - 500
снимок черепа сбоку - непомню
исследование 4 тр
залечить все зубы - в зависимости от запущенности ротовой полости
вырвать восьмерки - см прайс
вырвать зубы иные, если решили восьмерки тянуть и в ряд ставить сдвигать - см прайс
верхние брекеты - 27,5, нижние 23,5 примерно или наоборот(сапфир)
это цена наружных
затем ходишь 2 года раз в месяц и отдаешь от 1 до 3 т.р. , тебе подкручивают, меняют что-то там
60-70 тр изначальная установка + потом за 2 года натекает 50-60 р на консультациях
Итого как мне сказали 110-120 тр иттго + стоимость лечения зубов До установки и их удаление
Если ставить лингвальные - внутри идут - 300 тр
вы прям в тему
Консультация ортодонта 300
ОРП снимок - 500
снимок черепа сбоку - непомню
исследование 4 тр
залечить все зубы - в зависимости от запущенности ротовой полости
вырвать восьмерки - см прайс
вырвать зубы иные, если решили восьмерки тянуть и в ряд ставить сдвигать - см прайс
верхние брекеты - 27,5, нижние 23,5 примерно или наоборот(сапфир)
это цена наружных
затем ходишь 2 года раз в месяц и отдаешь от 1 до 3 т.р. , тебе подкручивают, меняют что-то там
60-70 тр изначальная установка + потом за 2 года натекает 50-60 р на консультациях
Итого как мне сказали 110-120 тр иттго + стоимость лечения зубов До установки и их удаление
Если ставить лингвальные - внутри идут - 300 тр
вы прям в тему

Тоже актуальная тема для меня
Записалась на прием на 6 апреля, врач сейчас в отъезде. Вроде там цены не так кусаются, посмотрю что скажут
В другой клинике насчитали около 160т за 2 года
Записалась на прием на 6 апреля, врач сейчас в отъезде. Вроде там цены не так кусаются, посмотрю что скажут

В другой клинике насчитали около 160т за 2 года
Ermolaeva2
v.i.p.
Хотела на медицинском тоже завести эту тему.
Вопрос первый - брекеты во взрослом возрасте. Влияют ли на жизнь? Личную, социальную и т.д?
Расскажите, вплоть до глупых вопросов, мешают ли целоваться? Как на работе чистить зубы? Как говорить с растягивающимися во рту резинками и т.д.?
Расскажите хоть кто-нибудь что-нибудь.
Вопрос первый - брекеты во взрослом возрасте. Влияют ли на жизнь? Личную, социальную и т.д?
Расскажите, вплоть до глупых вопросов, мешают ли целоваться? Как на работе чистить зубы? Как говорить с растягивающимися во рту резинками и т.д.?
Расскажите хоть кто-нибудь что-нибудь.
Ermolaeva2
v.i.p.
В какой клинике и какие брекеты? Лечение и удаление в цену входит?
Ermolaeva2
v.i.p.
Девочки, еще говорят сильно все болеть будет, 2 недели первых точно, правда?
Alby
боевая андатра...
Это очень больная и дорогая тема...
Хорошие брекеты стоят от 30 тыров...дешевые делать-смысла нет!Идеальная улыбка-это новая циркониевая керамика...
Моя улыбка стоит 155 тыс рублей!И это еще дешево!
Хорошие брекеты стоят от 30 тыров...дешевые делать-смысла нет!Идеальная улыбка-это новая циркониевая керамика...
Моя улыбка стоит 155 тыс рублей!И это еще дешево!
Сейчас читают
Алкоголизм
4092
13
сам не знаю что со мною
3910
14
Красивые и счастливые мамочки форева! )) (часть 32)
275166
1000
Ermolaeva2
v.i.p.
Вы относили брекеты или сейчас носите?
Цирконевая керамика - это в смысле импланты?
Цирконевая керамика - это в смысле импланты?
Katarzyna
activist
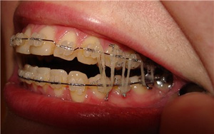
В улыбнись сапфировые. Лечение мне не нужно, все зубки в норме. Только удалить один придется.
Вот стоимость удаления по-моему туда не входит, хотя точно не помню
Все равно для меня это дороговато
Вот стоимость удаления по-моему туда не входит, хотя точно не помню

Все равно для меня это дороговато
Kattye
guru
Ленааааааа, это что за ценники?
Помниться, ходила как-то на консультацию (правда это было давно
), мне сказали, что брекеты в моем случае носить достаточно полгода, ценник был ок. 15 т.р. + 500р в месяц за подтяжку....что ТАК ценник повсился?

Помниться, ходила как-то на консультацию (правда это было давно
), мне сказали, что брекеты в моем случае носить достаточно полгода, ценник был ок. 15 т.р. + 500р в месяц за подтяжку....что ТАК ценник повсился?

Ermolaeva2
v.i.p.
Это в какой клинике такие цены???
Мне носить 2 года, так как удалять хотят шестерки, у них размер 10-12 мм и сдвигать зубы. Скорость сдвига не более 1 мм в месяц, и это очень сложно.
Сейчас, может, кто ставил недавно, расскажут по ценам, сравним.
Мне носить 2 года, так как удалять хотят шестерки, у них размер 10-12 мм и сдвигать зубы. Скорость сдвига не более 1 мм в месяц, и это очень сложно.
Сейчас, может, кто ставил недавно, расскажут по ценам, сравним.
Alby
боевая андатра...
Нет, я не ношу, носит моя подруга...делала в Голливуд Дентале(если я ничего не путаю)-это одна из самых первых клиник по брекетеам-результат отличный, говорили, что надо ходить больше года, оказалось, что результат не заставил себя ждать! У меня есть жевательные импланты, производства Израиль с обыкновенной керамикой, а переднии зубы сделала-циркониевую керамику(она не так давно у нас в России) за 8 единиц заплатила 155 тыщ!Вообще у меня стоматолог-волшебник и большой умница!!!
Libre
весна, всегда весна
Мне даже читать перечень больно было
я очень боли боюсь.
Девочка на работе делала. У нее, правда, проблемы больше были. После года ношения брекетов очень хорошо стала выглядеть в плане фигуры. Потому что могла есть (по ее словам) только тепленькие кашки. Все остальное было больно. Но это тоже индивидуально и наверняка зависит от величины проблемы, вернее ее кривизны и скученности.
я очень боли боюсь.Девочка на работе делала. У нее, правда, проблемы больше были. После года ношения брекетов очень хорошо стала выглядеть в плане фигуры. Потому что могла есть (по ее словам) только тепленькие кашки. Все остальное было больно. Но это тоже индивидуально и наверняка зависит от величины проблемы, вернее ее кривизны и скученности.
Ну не правда, что больно...подружайка моя вообще не жалуется, ест все...и пьет тоже!
Kattye
guru
Ну, у меня, как писала выше, "поехал" один верхний передний зуб, его и надо на место поставить, куда "разъезжаться" тожеесть, нижние меня вполне устраивают, лечить тоже не чего!
Про боль: есть знакомые, которые носили брекеты, говорят очень больно, зубы ноют по первости круглосуточно. На мои кто смотрит (кто носил брекеты), говорят, что оно того не стоит. Но! Я то вижу, что стоит!
Про боль: есть знакомые, которые носили брекеты, говорят очень больно, зубы ноют по первости круглосуточно. На мои кто смотрит (кто носил брекеты), говорят, что оно того не стоит. Но! Я то вижу, что стоит!
Libre
весна, всегда весна
А почему шестерки рвать, а не восьмерки?
А почему разЪезжается? Куда? У Вас нет некоторых зубов?
Ermolaeva2
v.i.p.
Уточните,пожалуйста, сколько стоят сами брекеты и в дальнейшем работа ежемесячная.
Она не жаловалась нам в процессе.
Потом уже сказала, когда все стали хвалить ее стройную фигуру, сказала что это она не нарочно, просто кроме кашек есть ничего не могла.
И еще раз говорю, наверняка больно-не больно от ситуации зависит.
Потом уже сказала, когда все стали хвалить ее стройную фигуру, сказала что это она не нарочно, просто кроме кашек есть ничего не могла.И еще раз говорю, наверняка больно-не больно от ситуации зависит.
А почему разЪезжается? Куда? У Вас нет некоторых зубов?
Да не, пока все на месте (тьфу-тьфу-тьфу), щелки есть между зубами, как раз, если это один ровно встанет, всё будет красяво!!! 
Ermolaeva2
v.i.p.
Потомучто шестерки в плохом состоянии, пломба во весь зуб и у одного части стенки нет, с ними года через 2-3 придется что-то решать-коронки ставить. Сказали,что можно их удалить и здоровые зубы на их место вытянуть.Сохранить все родные зубы, так как кроме шестерок остальные хорошие.
Но можно и восьмерки удалить. Но потом решать проблему шестерок.
Но можно и восьмерки удалить. Но потом решать проблему шестерок.
Boltywkaaa
guru
Это индивидуально.
Знакомая носит брекеты.
Я, глядя на её мучения, решила радоваться своим зубам таким какие они есть
Врача она посещала раз в два-три месяца. После этого пару дней у неё всё болело...есть было трудно
да что там есть! говорила с трудом!
И это при том, что на момент нашего тогда с ней общения - она уже около года отходила
То есть боль будет не только по первости 
Зато потом (я надеюсь) будет хороший результат!
По ценам - примерно так, как Лена выше и написала.
Знакомая носит брекеты.
Я, глядя на её мучения, решила радоваться своим зубам таким какие они есть
Врача она посещала раз в два-три месяца. После этого пару дней у неё всё болело...есть было трудно
да что там есть! говорила с трудом!И это при том, что на момент нашего тогда с ней общения - она уже около года отходила
То есть боль будет не только по первости 
Зато потом (я надеюсь) будет хороший результат!

По ценам - примерно так, как Лена выше и написала.
Ermolaeva2
v.i.p.
Да. с брекетами нельзя есть твердое, горячее - замочки могут отклеится, сломаться. Надо чистить зубы после каждого приема пищи, иногда я думаю не станешь лишний раз шоколадку жевать на работе,чтоб зубы не чистить в туалете рабочем. Многим ставят резинки, там не всунешь в рот большой кусок.
Блин, жесть какая
Пойду зубки почищу 
Пойду зубки почищу 
Alby
боевая андатра...
Уточните,пожалуйста, сколько стоят сами брекеты и в дальнейшем работа ежемесячная.79 тыс-год...ходила не каждый месяц-через месяц будет снимать.Говорят, что во взрослом возрасте все брекеты фигня...ан нет-кости двигаются до самого конца жизни, а тем более новые технологии-это ваще фантастика!Сейчас даже деткам керамику и пластмассу делают, если молочные зубки рано выпали-дабы избежать плачевных последствий в более старшем возрасте!
VikaRi
Сюрдерелла
Какие ужасы тут на фотках...маркиз де Сад отдыхает...
Ermolaeva2
v.i.p.
Я готова терпеть боль/зуд, так как так и так просыпаюсь с болящей от напряжения челюстью, не могу пролечить зубы-рот не открывается настолько, чтоб бормашина пролезла.
Меня смущает их внешний вид и дикция от них.
Меня смущает их внешний вид и дикция от них.
Boltywkaaa
guru
О как!
У меня значит вся верхняя челюсь в тренде
У меня значит вся верхняя челюсь в тренде

Alby
боевая андатра...
У нее несколько раз отваливались эти штуки!
Alby
боевая андатра...
Ржет подруга, говорит, что прикольно целоваться в брекетах и не только целоваться


Ermolaeva2
v.i.p.
Конечно, замочки же на клей садят, их на консультациях на место клеют.
прикольно в смысле ужасно?
прикольно в смысле ужасно?
79 тыс-год...это в Голливуде? я как раз туда записалась, посмотрим что мне скажут

Вай, раз такие трудности, может прще один зуб с помощью керамики исправить?
Идеально, конечно не будет, но в полне достойный результат должен получиться! 
Идеально, конечно не будет, но в полне достойный результат должен получиться! 
Ermolaeva2
v.i.p.
Девочки, а давайте сразу спрашивать производителей и вид брекетов?
Alby
боевая андатра...
Еврейские хвалят, но только не советские!
VikaRi
Сюрдерелла
Потомучто шестерки в плохом состоянии, пломба во весь зуб и у одного части стенки нет, с ними года через 2-3 придется что-то решать-коронки ставить. Сказали,что можно их удалить и здоровые зубы на их место вытянуть.Сохранить все родные зубы, так как кроме шестерок остальные хорошие.Удалить зубы и переставить всю челюсть?
Но можно и восьмерки удалить. Но потом решать проблему шестерок.
Не проще ли импланты уж тогда поставить, если зубы отжили свое и больше не годятся?
Зачем все усложнять настолько? Стоматолог то понятно, хочет заработать.Импланты тоже стоят не 8 копеек, да и не факт, что они приживутся!Да и процедура не совсем приятная!
Ermolaeva2
v.i.p.
Какие импланты.Поставить импланты,когда можно сохранить свои зубы. Удалить 6 и на его место сдвинуть 7.
Ну или протезы, как их там...я плохо понимаю в этом 

Съемные протезы-это прошлый век, если позволяют денюшки, то лучше импланты-эстетично, красиво, да и гарантия на них 30 лет!Самое главное, чтобы прижились, а то у большинства идет отторжение!
А вот тут что-то про прикус прочитала...правильный - это когда рот закрыт, а верхние и нижние зубы соприкасаются и всегда находятся в этом положении? 

Да не съемные...ну в общем, зубы вставные...вот
Тока не железные, как у бабулек.
Тока не железные, как у бабулек.Если есть куда поставить...зуб, а то у некоторых людей, жевательные зубы ваще роскошь! По дури повыдергивают, дабы не переплачивать за лечение-вот потом и ставят присоски 

Да вроде есть, просто одного нету, вот и спрашиваю
А можно ли себе пересадить свой собственный зуб? Или не прирастет?
А можно ли себе пересадить свой собственный зуб? Или не прирастет?
