На информационном ресурсе применяются cookie-файлы. Оставаясь на сайте, вы подтверждаете свое согласие на их использование.
--абфракционный эффект---
Андрей,ты слова проще подбирай....
Андрей,ты слова проще подбирай....

--если при пломбировании канала зуб лопнул вдоль---
Если это так( точно сказать нужен R-снимок), то удалять зуб.
Если это так( точно сказать нужен R-снимок), то удалять зуб.
Саш, абфракция усугубляется в дальнейшем абразией. Куда уж проще;-)
спасибо за разъяснения, но немного недопоняли меня)) сами единички по нижнему режущему краю одинаковы по длине. я имела ввиду , что десна над поврежденным зубом располагается чуть выше, чем над соседним неповрежденным., как бы приподнята.
так всё же "канавку" эту придется рано или поздно перекрывать материалом? есть ли смысл это делать до появления чувствительности в этом месте?
так всё же "канавку" эту придется рано или поздно перекрывать материалом? есть ли смысл это делать до появления чувствительности в этом месте?
--я имела ввиду , что десна над поврежденным зубом располагается чуть выше, чем над соседним неповрежденным., как бы приподнята.--
как раз об этом и речь....
--так всё же "канавку" эту придется рано или поздно перекрывать материалом? есть ли смысл это делать до появления чувствительности в этом месте? ---
первым делом нужно решать все в целом. Все что нужно делать написал Атмосфер. И конечно,"канавку" закрыть.
как раз об этом и речь....
--так всё же "канавку" эту придется рано или поздно перекрывать материалом? есть ли смысл это делать до появления чувствительности в этом месте? ---
первым делом нужно решать все в целом. Все что нужно делать написал Атмосфер. И конечно,"канавку" закрыть.
Может кто знает, где найти Илларионову Татьяну (Евгеньевну кажется)???? работала долгое время в Смитре, сегодня позвонила, сказали, что не работает с декабря, я ее тел-й номер потеряла :((( А Лечусь только у нее много лет и самое замечательное, что за эти много лет количество посещений можно по пальцам одной руки посчитать, и меня это очень даже устраивает :))) Помогите, пожалуйста, найти ее кто знает!!! 

Уф... я нашла :))) Если кому-то нужно будет Илларионова Татьяна 8-913-941-20-40, я так поняла, что она свой кабинет сделала на Челюскинцев, еще точно не знаю, скоро поеду зубки лечить 

Сейчас читают
Планирование беременности (часть 3)
210139
1000
Платяной шкаф: ревизия!
292884
1000
Ночной позор
227335
1018
я бы советовала удалить уздечку, потому что сама с таким столкнулась - десны стали около передних зубов оседать, даже часть корня уже видна стала и врач сказала что появилось (впервые за 5 лет осмотров!) подвижность. а она давно мне говорила, не представляете как страшно стало от мысли что передние зубы выпадут!!
тьфу тьфу, сейчас всё хорошо стало
тьфу тьфу, сейчас всё хорошо сталоя бы советовала удалить уздечку, потому что сама с таким столкнулась - десны стали около передних зубов оседать, даже часть корня уже виднаПервые признаки парадонтоза
Может тоже кто поможет.
Князева Галина Владимировна
Работала в центре "БРИЗ".
Хотелось бы у нее дальше лечиться.
Князева Галина Владимировна
Работала в центре "БРИЗ".
Хотелось бы у нее дальше лечиться.
ннп
Посоветуйте хорошего стоматолога-терапевта в Железнодорожном районе (не из муниципальной поликлиники). Хочется, чтоб вылечили все зубы, которые требуют лечения, но при этом ничего лишнего. А то уже смешно от моих хождений по стоматологам...
С год назад была у Проценко в Здравице с проблемным зубом, сделала хорошо, но сказала, что нужно лечить весь рот за какие-то астрономические деньги. Через месяц пошла к Зорину в Дентал-Косметик с протезированием (коронки сделал хорошо опять же, меня все устраивает), но по поводу "лечить весь рот" сказал, что ничего не видит, что лечить надо
Некоторое время назад была у стоматолога в Дюне, так там врач тоже весь рот лечить захотела (причем все зубы другие назвала, в отличие от здравицы), в то же время стоматолог на работе (как бы бесплатный, но сомневаюсь я насчет квалификации его) ничего не видит.
Такое впечатление, что все от фонаря диагностируют. Чем больше хожу по врачам, тем чудесатее.
Ближайшая клиника от дома - Стиль-Дент на Ленина, вот там еще не была :D. Знает кто-нибудь у них хорошего врача?
Посоветуйте хорошего стоматолога-терапевта в Железнодорожном районе (не из муниципальной поликлиники). Хочется, чтоб вылечили все зубы, которые требуют лечения, но при этом ничего лишнего. А то уже смешно от моих хождений по стоматологам...
С год назад была у Проценко в Здравице с проблемным зубом, сделала хорошо, но сказала, что нужно лечить весь рот за какие-то астрономические деньги. Через месяц пошла к Зорину в Дентал-Косметик с протезированием (коронки сделал хорошо опять же, меня все устраивает), но по поводу "лечить весь рот" сказал, что ничего не видит, что лечить надо

Некоторое время назад была у стоматолога в Дюне, так там врач тоже весь рот лечить захотела (причем все зубы другие назвала, в отличие от здравицы), в то же время стоматолог на работе (как бы бесплатный, но сомневаюсь я насчет квалификации его) ничего не видит.
Такое впечатление, что все от фонаря диагностируют. Чем больше хожу по врачам, тем чудесатее.
Ближайшая клиника от дома - Стиль-Дент на Ленина, вот там еще не была :D. Знает кто-нибудь у них хорошего врача?
Это просто два разных подхода у врачей.
Первые считают, что нужно всё переделать по-современному, а вторые считают, что пока старые пломбы стоят - пусть стоят.
Что лучше - не знаю. По-моему, лучше переделать. Мало ли, что там, под пломбами... а то можно время и упустить.
Первые считают, что нужно всё переделать по-современному, а вторые считают, что пока старые пломбы стоят - пусть стоят.
Что лучше - не знаю. По-моему, лучше переделать. Мало ли, что там, под пломбами... а то можно время и упустить.
Если так подходить, то переделывать надо постоянно. Закончил 32 зуб и начинаешь с первого. Ибо материалы постоянно появляются новые, более совершенные
Да нет... Мне где-то году в 2001-2002-м всё переделали, что было на тот момент старого. С тех пор только или новое если вылазит (пару раз было), или пломбы на передних зубах подшлифовать. Наблюдаюсь у того же врача, которая тогда переделывала.
Я не хочу, чтоб мне старые пломбы переделывали на всякий случай, если кариеса нет.
Просто хочу, чтоб грамотно диагностировали и ликвидировали весь кариес.
Еще вопрос: надо ли лечить зубы с клиновидным дефектом и как их лечат (просто пломбируют?)?
Просто хочу, чтоб грамотно диагностировали и ликвидировали весь кариес.
Еще вопрос: надо ли лечить зубы с клиновидным дефектом и как их лечат (просто пломбируют?)?
Уважаемые, может быть, и мне посоветуете хорошего врача в 6й поликлинике на Нарымской? Раньше там лечился, впечатления были нормальные, а сейчас как-то получилось, что и огромный пришеечный кариес пропустили и спокойно отпускают с белыми пятнами на зубах и потемнением, ровным счетом ничего об этом не говоря. А мне, честно говоря, не особенно хочется заниматься самодиагностикой после профессионального осмотра зубов двумя врачами. Возможно, мне просто так "повезло", кто знает.
В общем, если кто-то знает хорошего стоматолога-терапевта в 6й с руками и заботой о пациенте посоветуйте, пожалуйта, здесь или в ЛС.

Кстати, кто разбирается, сколько в действительности должно занимать по времени лечение 1го среднего кариеса? Как-то так получилось, что мне за час вылечили глубокий кариес на зубе, поставили туда постоянную пломбу и депульпировали стоящую рядом нижнюю 6ку с замазыванием временной пломбой. Это нормально? (боюсь, ответ меня расстроит).
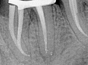
Сколько времени потратили в первое посещение на работу с шестым зубом не столь важно. Доктор, может быть, основную часть работы оставил на повторный визит. Главное, что бы после пломбирования корневых каналов он выглядел на снимке примерно так.
Время на лечение среднего кариеса различно. Многое зависит от топографии дефекта и его обширности по площади. Микроточка или тотальное поражение всех поверхностях зуба, при этом имеющие одинаковую глубину, соответствующие глубине среднего кариеса, требует, сами понимаете, разного времени лечения.
От 20 мин до 2-х часов.
От 20 мин до 2-х часов.
То же самое можно сказать и о глубоком кариесе.
Для устранения разночтений в плане лечения в клиниках сейчас широко внедряется дентальная макрофотография, которая помогает врачу и пациенту объективно определить необходимость лечения или отсутствие последней. Разногласий с пациентами возникает гораздо меньше.
а где такие штуковины и сколько это удовольствие стоит?
Инрооральные камеры начал применять одним из первых в Новосибирске.Итрооралкой фиксируется каждый этап лечения(акт скрытых работ). Но она не дает полномасштабной качественной картинки. Со временем, пришёл к выводу, что это дешевое дополнение к другим оптическим дивайсам.
А где хорошо полечить сильно запущенный зубик по медицинской страховке. В Институте стоматологии на Димирова по страховке лечат? Есть так какой-нибудь хороший врач к кому записаться??
"В Институте стоматологии на Димирова"
Что-то не знаю такого универа. ;-)
Что-то не знаю такого универа. ;-)
Это просто два разных подхода у врачей.Здравствуйте,
Первые считают, что нужно всё переделать по-современному, а вторые считают, что пока старые пломбы стоят - пусть стоят.
Что лучше - не знаю. По-моему, лучше переделать. Мало ли, что там, под пломбами... а то можно время и упустить.
извините, что вмешиваюсь в дискуссию. Не воспримите как рекламу, плиз. Я как пациент столкнулась со следующей ситуацией: когда мы приняли на работу заведующего стоматологическим отделением, он очень хорошо продемонстрировал мне на мне же самой, что подход "перелечивать" - реально правильный. Он сделал мне простую процедуру: промазал зубы кариес-детектором. Это показало, что скорее всего под всеми старыми пломбами есть кариес. Объясняется все просто: сделали мне в свое время все хорошо, но тогда были другие материалы, они дают усадку, между зубом и пломбой появляется микропространство, куда попадают бактерии. Так вот: под всеми старыми пломбами, когда мы их убрали на самом деле был кариес. Причем уже очень близко к пульпе. Чудом не начался еще пульпит, и я избежала депульпирования. Врач сказал, что еще годик - и зубы пришлось бы "умертвлять". В результате я все старые пломбы заменила на керамические вкладки, которые не дают усадки, и на лет 20 по идее с этими зубами я не должна иметь проблем... Понятно, что не дешево, но если есть возможность, я считаю, нужно делать.
И еще, взгляд изнутри: иногда врачи не берутся что-то делать, потому что не владеют новыми технологиями. И тогда они вам будут объяснять, что ничего вам делать не нужно, и так нормально и т.д.... Плюс многие так и не смогли избавиться от психологии "это слишком дорого", т.к. сами долго жили в ситуации низких заработков, и происходит перенос собственных страхов и ограничений на пациентов. И они просто не рассказывают или не достаточно аргументируют дорогостоящие услуги.
А вот то, что разные зубы называли: тут несколько вариантов: 1. разные стандарты, что лечить, 2. ситуация изменилась между двумя этими приемами.
Про Проценко могу с полной уверенностью сказать: это очень порядочный и "правильный" доктор. Лишнего никогда не советует. Я сама у нее наблюдалась все эти годы (сейчас она ушла в декрет).
С уважением, Наталья Сухарева
подскажите пожалуйста, где можно полечить зубы под наркозом?Муж ооочень боиться, а зубов много (я 8 насчитала), 2 из них- это просто корни.
и сколько примерно это бует стоить?
и сколько примерно это бует стоить?
ну вот. наконец-то назвали хорошего врача, так она ушла в декрет
кто не успел - тот опоздал )

кто не успел - тот опоздал )
клиника Golden Dent мы там лечили зубы чаду под накрозом.
хорошо, под наркозом - муж и отец лечили зубы в клинике частной которая находится на станционной на территории завода. Если заинтересовало - напишу сот. тел. врача. Мне удаляла сложный зуб и даже челюсть не разворотила:))
про хорошего врача - последние лет 7 только к Проценко в Здравицу. Действительно, другого врача не хочу. Насколько мне известно, она не планирует долго находиться в декрете, надеюсь, что все будет хорошо и Татьяна Викторовна к концу года выйдет на работу. Здоровья и удачи ей и ее доче!!
ну вот. наконец-то назвали хорошего врача, так она ушла в декретУ нас два очень хороших врача-стоматолога ушли в декрет практически одновременно. И еще и один из самых любимых пациентами педиатров. Урожайный у нас сезон...кто не успел - тот опоздал )
Но мы набрали не менее хороших
А быстро выходить из декрета, ранее, чем через год, мы все же не рекомендуем. Детям нужна мама хотя бы до года. Но это, конечно, выбор самой мамы.С уважением, Наталья Сухарева
Филипчук Ольга Викторовна, стоматологическое отделение дорожной больницы. Писать и говорить ничего не буду, кто хоть раз лечился - к другим не идут. 

Сколько себя помню, ле с 5 наверно, лечу зубы у Гольдштейн Татьяны Михайловны. Сейчас уже и сын у нее занимается стаматологией и супруг. Семеная династия. Рекомендую.
Rosenstolz
activist
Где на левом берегу можно платно сделать панорамный снимок (не выговорю как это по научному называется)?
Rosenstolz
activist
В Дентал-сервисе точно можно.Я уже где-то писала что Дентал-сервис для меня не вариант - цены у них ломовые.
Крыска
unreal
Ну вы же сейчас не про лечение спрашиваете.
Там делают и панорамные снимки, и дентальный томограф есть. И можете потом 13% вернуть в виде налогового вычета, без проблем. Скидки по карте Золотая середина - правда, не знаю, на всё она там распространяется, или нет.
Там делают и панорамные снимки, и дентальный томограф есть. И можете потом 13% вернуть в виде налогового вычета, без проблем. Скидки по карте Золотая середина - правда, не знаю, на всё она там распространяется, или нет.
актуальна тема, делюсь опытом - сейчас лечимся в эстетике. цены - дорого, но не ломовые. качество на отлично. но на консультации первичной не понравилась врач, сменили и в восторге - и пародонтолог, и терапевт, и хирург. Фамилии если интересно смогу вечером уточнить
Elein
activist
в детской стоматологической поликлинике №3 (регистратура 353-53-03) по живой очереди, стоит рублей 300
если говорить попроще, то он сокращается до ОПГ
если говорить попроще, то он сокращается до ОПГ
