На информационном ресурсе применяются cookie-файлы. Оставаясь на сайте, вы подтверждаете свое согласие на их использование.
Макросъемка в стоматологии.Необходимы советы профи.
12509
34
Атмосфер
activist
Какие оптимальные режимы настройки посоветуете. Передние зубы в фокусе ,а боковые размытые получаются.
Chuck_Norris
v.i.p.
в стоматологии обязательно использование кольцевой вспышки, независимо, зеркальная камера у вас или компактная. Без такой вспышки не получить качественной фотографии.
На зеркальном фотоаппарате устанавливаете значение диафрагмы 8 или больше и будет вам счастье, возможны еще варианты.
На зеркальном фотоаппарате устанавливаете значение диафрагмы 8 или больше и будет вам счастье, возможны еще варианты.
Victor-885
странник
Кольцевая вспышка, конечно, хорошо, но если ее нет, то покупать ради нескольких снимков не стоит. Можно обойтись и простыми пыхами с рассеивателями, только их надо хотя бы пару. И диафрагму зажать как можно больше. Вплоть до 22.
Есть еще момент. Не надо снимать в режиме макро. Там глубина резкости очень мала. Лучше со штатива издалека снимать длиннофокусной оптикой.
Есть еще момент. Не надо снимать в режиме макро. Там глубина резкости очень мала. Лучше со штатива издалека снимать длиннофокусной оптикой.
W1zzard
experienced
Нука нука, расскажите поподробней про отличие в ГРИП при съемки разным фокусным одного и тогоже объекта в одном и томже масштабе??
asma de jour
ужос просто ужос...
W1zzard
experienced
Ну и? Как я и говорю отличия нет, что по теории, что по программе.
Chuck_Norris
v.i.p.
Можно обойтись и простыми пыхами с рассеивателями, только их надо хотя бы пару.а вот в этом месте поподробнее, пожалуйста, как будут освещены коренные зубы ???
Сейчас читают
Что-где-когда-как и с кем.
190838
999
Сколько стоит.
4332
16
С новым кэноном вас.
2069
11
asma de jour
ужос просто ужос...
Я намекаю что физические принципы , они действуют вне зависимости от линз и систем. 

Павел Сергеевич
veteran
напихать в рот светодиодов и фотать! 

Sergey Taran
experienced
Если просто нужно сделать пару снимков, ясен пень кольцевую вспышку для этого может купить только ...ээээ.... богатый человек))) Который ее и дальше будет использовать. Покупать специально под эти пару снимков не нужно. Достаточно взять обычную вспышку и удлинительный кабель к ней, Для кэнона он называется ОС-Е3. На вспышку диффузо какой нибудь, что бы свет смягчить, вспышку в руки медсестре (ассистенту) , десяток пробных снимков, опытным путем подобрать оптимальные параметры и вперед.
Замечу что быстрее, качественнее и дешевле будет пригласить фотографа, который за бесплатную пломбу( отбеливание зубов, удаление камней и пр.) снимет это лучше.
Замечу что быстрее, качественнее и дешевле будет пригласить фотографа, который за бесплатную пломбу( отбеливание зубов, удаление камней и пр.) снимет это лучше.
W1zzard
experienced
Физические принципы неплохо осмысливать, или хотябы проверять на практике, чтобы потом глупые посты не писать.
Victor-885
странник
Александр, давайте придерживаться корректных выражений. Свое мнение о моих умственных способностях вы можете написать мне в личку. Это вас не красит.
По сути вопроса. Глубина резкости в режиме макро значительно меньше, чем в обычном режиме, и вы в этом можете убедиться сами, сделав тестовые снимки миры. Если с расстояния 10 см глубина резкости на открытой диафрагме может быть 2-10 мм, то тот же объектив, но в обычном режиме с расстояния 1,5 метра может дать глубину резкости 20 см и более в зависимости от типа объектива. Вот и все.
По сути вопроса. Глубина резкости в режиме макро значительно меньше, чем в обычном режиме, и вы в этом можете убедиться сами, сделав тестовые снимки миры. Если с расстояния 10 см глубина резкости на открытой диафрагме может быть 2-10 мм, то тот же объектив, но в обычном режиме с расстояния 1,5 метра может дать глубину резкости 20 см и более в зависимости от типа объектива. Вот и все.
W1zzard
experienced
Отлично, все правильно, так и есть. Но вопрос автора прочитали? МАКРОСЪЕМКА, зачем советовать отходить подальше? Ну увеличится ГРИП, при этом зубы займут на фотографии 10% площади, получится обычный портрет, это автору зачем???
И кстати у объектива нет какогото особого и обычного режима, может быть только ограничение МДФ чтобы он слишком долго из конца в конец не ездил.
Корректные выражения у меня кончаются когда мне несколько раз пишут не относящиеся к делу вещи с попыткой доказать мою неправоту.
И кстати у объектива нет какогото особого и обычного режима, может быть только ограничение МДФ чтобы он слишком долго из конца в конец не ездил.
Корректные выражения у меня кончаются когда мне несколько раз пишут не относящиеся к делу вещи с попыткой доказать мою неправоту.
kenny2007
veteran
напихать в рот светодиодов и фотать!Насколько я знаю, реклама на форуме запрещена![]()

Автору - купите китайскую за 40-60 баксов.
Victor-885
странник
Но вы невнимательно прочитали мой пост. Я написал, что отойти подальше, но фокус выбрать длиннее. Поэтому портрета не получится. Будет тот же снимок, но с большей ГРИП. Хотя телевик имеет меньшую глубину резкости по сравнению с обычным, но для этой съемки резкости в 10 см вполне хватит.
Объектив макро и обычный отличаются лишь тем, что макро может выдвинуться вперед дополнительно на несколько сантиметров. И все. В остальном они одинаковы.
Объектив макро и обычный отличаются лишь тем, что макро может выдвинуться вперед дополнительно на несколько сантиметров. И все. В остальном они одинаковы.
W1zzard
experienced
А вот это уже неверно о чем я и пишу уже четвертый кажется раз. Ну хотябы вон асма давал ссылку на программу по расчету ГРИП, возьмите да и сравните сами. Или пойдите вдвоем с асмой в техносити, у него там связи
возьмите 50мм макро и 100мм макро и снимите 5см на весь кадр одним и другим, потом считайте ГРИП и удивляйтесь.
У меня такое впечатление что макро вы ни разу не снимали.

У меня такое впечатление что макро вы ни разу не снимали.
Victor-885
странник
...У меня такое впечатление что макро вы ни разу не снимали.У вас неверное впечатление. Все, о чем я здесь написал, я знаю из собственного опыта. Зубы, разумеется, я никогда не снимал. Думаю, что и вы тоже. Но в остальном я хорошо знаю различия, что я получу съемкой в режиме макро, а что обычным телевиком.
И даже если не удастся полностью заполнить кадр нужным изображением, обрезку и увеличение в фотошопе никто не отменял. Важен конечный результат, а не технология его получения.
А вот это уже неверно о чем я и пишу уже четвертый кажется раз. Ну хотябы вон асма давал ссылку на программу по расчету ГРИП, возьмите да и сравните сами. Или пойдите вдвоем с асмой в техносити, у него там связиизвините, а можно еще раз эту ссылку?возьмите 50мм макро и 100мм макро и снимите 5см на весь кадр одним и другим, потом считайте ГРИП и удивляйтесь.
У меня такое впечатление что макро вы ни разу не снимали.

Victor-885
странник
А отмотать топик назад не судьба?
http://ru.wikipedia.org/wiki/%D0%93%D0%A0%D0%98%D0%9F
http://ru.wikipedia.org/wiki/%D0%93%D0%A0%D0%98%D0%9F
Kitsen
veteran
А отмотать топик назад не судьба?Я бы ткнул по ссылке, если бы было прямо написано, что под ней.
http://ru.wikipedia.org/wiki/%D0%93%D0%A0%D0%98%D0%9F
Спасибо, что не поленились ткнуть меня носом.
опять холивар развели.... 
кольцевые вспышки, обьективы.....
взять обычную мыльницу с гиперфокальным расстоянием....дешево и сердито......и резкость будет от резцов, до света в конце тонеля....;)

кольцевые вспышки, обьективы.....
взять обычную мыльницу с гиперфокальным расстоянием....дешево и сердито......и резкость будет от резцов, до света в конце тонеля....;)
Атмосфер
activist
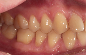
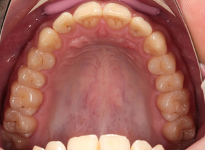
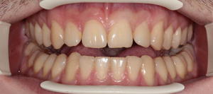
Спасибо всем большое. Дождался заказной вспышки и внутриротовых зеркал с контрастерами.
Все прблемы ушли. Конфигурация техники: Кэнон 550, объектив Кэнон 100/2.8 макро, вспышка Макро
МТ-24ЕХ, зеркала металл YDM.
Все прблемы ушли. Конфигурация техники: Кэнон 550, объектив Кэнон 100/2.8 макро, вспышка Макро
МТ-24ЕХ, зеркала металл YDM.
жесть, все сразу и способ решения, нормальный - мыльницу вам уже предлагали, и как следствие результат никакой
Ещё. Какие замечания по настройкам?горизонт завален...


)))))))
мне кажется выглядит не очень и не естественно, а ещё ФШ сюда бы наложить и резкости
мне кажется выглядит не очень и не естественно, а ещё ФШ сюда бы наложить и резкости
asma de jour
ужос просто ужос...
Все гуд! 
А если еще и стоматологи начнут ФШ рабочие снимки выглаживать - то им зубы сверлить времени не останется

А если еще и стоматологи начнут ФШ рабочие снимки выглаживать - то им зубы сверлить времени не останется

Leonmos
veteran
просто фильмы ужасов сплошные, столько открытых ртов никогда не видел 

asma de jour
ужос просто ужос...
Ну... филь ужасов начнется если стоматологи станут зубы рядком класть, чтоб снять красиво, чтобы на открытой дыре в грип входили 



Anatoly T.
activist
Эта ветка форума очередная серия "Челюстей".
Читал и смеялся.
Челюсти и рассуждения о ГРИП в одном флаконе
Читал и смеялся.
Челюсти и рассуждения о ГРИП в одном флаконе
